Airflow-polering
Vi bruker Airflow hos Complete Smiles for å fjerne lettere flekker på tennene som ofte forårsakes av rødvin, kaffe, te eller røyking.
Velg Complete Smiles for Airflow-polering.
Fjern flekker og urenheter, og få det skinnende smilet ditt tilbake!
Vi forstår hvor viktig det er å ha et rent smil, og hvor stor effekt dette kan ha på hverdagen din.
Airflow-polering er en ny renseprosedyre som kombinerer tre elementer; luft, vann og natron. Dette frisker opp munnen din og gjør tennene dine blanke, uten at de skades eller brytes ned.
Vi tilbyr behandlinger med Airflow hos Complete Smiles, og vi bruker dette til å fjerne enklere flekker på tennene dine. Slike flekker kommer ofte fra mat og drikke, som for eksempel rødvin, kaffe, te eller røyking.
Airflow-behandling er ikke en tannblekningsbehandling, men en poleringsbehandling som polerer bort plakk og enklere misfarging.
Sayed Razavian
Det er flere gode grunner til å bestille behandling med Airflow:
• Behandlingen fjerner plakk og flekker med en trykkbasert luftstråle, kombinert med vann og natron
• Behandlingen er helt smertefri. Du slipper at noen skraper og river i tannkjøttet ditt.
• Behandlingen anbefales for pasienter med sensitive tenner. Det er ingen vibrasjoner eller direkte kontakt under behandlingen.
• Airflow-metoden er tre ganger så rask som den tradisjonelle behandlingsmetoden.
For mer informasjon om dette kan vi kontaktes på 020 4541 1150. Vi svarer selvsagt på alle spørsmål du måtte ha.
Hvordan virker Airflow-polering?
Alminnelig munnhygieniske tiltak som tannpuss og tanntråd, kombinert med et sunt og variert kosthold, gir deg allerede svært gode forutsetninger for å ivareta den gode tannhelsen din. Likevel er det enkelte typer misfarging og flekker som krever behandling hos eksperter ved en tannlegeklinikk.
Airflow-polering innebærer at vi benytter en kraftig stråle av luft, vann og natron for å rense spesifikke områder av tennene dine. Behandlingen fjerner plakk, flekker, misfarging og andre urenheter fra tennene dine. Airflow-polering er perfekt for pasienter som har innplanter eller finér, ettersom det ikke legger noe trykk på selve tannen. Dette minimerer risikoen for at innsatte implantater eller finér blir skadet under behandlingen.
Resultatene kan vare i opp til ett år, avhengig av kostholdet ditt..
Hvilke fordeler er det ved Airflow-polering?
Airflow-polering gir deg en dypere rens av tenner og tannkjøtt ved bruk av luft, vann og natron. Dette fjerner flekker og plakk fra både tenner og tannkjøtt.
Det er flere fordeler ved å velge Airflow-polering:
• Det er smertefritt og forhindrer tannkjøttsykdommer
• Airflow fjerner plakk raskere og mer effektivt enn tradisjonelle teknikker
• Det er en veldig komfortabel og lite inngripende behandlingsform
• Det passer til både voksne og barn
• Tannblekingsprosessen blir mer effektiv, ettersom den fjerner plakk som har bygget seg opp over tid
• Airflow passer for folk med sensitive tenner
• Smilet ditt ser renere og hvitere ut etter bare ett besøk
• Airflow-polering kan brukes på både kroner, finér, broer og implantater
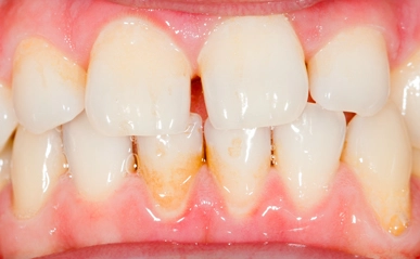
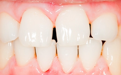
Før og etter
Airflow-polering kan potensielt gi deg fantastiske resultater. Fjerning av flekker og misfarging vil få tennene dine til å se rene og hvitere ut etter kun ett besøk.
Airflow-polering
Flekker på tennene gjør at man velger å skjule tennene fremfor å smile, uavhengig av hvorfor flekkene er der. Denne behandlingen vil gi deg smilet ditt tilbake!


FAQ
Airflow-polering innebærer bruk av en luftstråle med vann som sentreres til spesifikke områder på tennene dine. Behandlingen fjerner plakk, flekker, misfarging og andre avfallsstoffer fra tennene. Airflow-polering er perfekt for deg som har implantater eller finér, ettersom behandlingen ikke medfører trykk mot noen av tennene. Dette gjør at slike komponenter ikke skades under behandlingen.
Airflow-polering er den beste måten å fjerne flekker og misfarging på både fortenner og jeksler. Etter behandlingen vil du føle deg trygg og selvsikker med det nye, sunne smilet ditt!
Airflow er en fantastisk måte å fjerne flekker på tennene på.
Tennene dine kan potensielt forbli flekkfrie i opp til ett år. Dette avhenger av kostholdet ditt, samt om du røyker og ellers ivaretar tannhelsen din på en fornuftig måte
