Skallfasetter
Gjør smilet ditt helt igjen med porselensfasetter!
Hva er skallfasetter
Skallfasetter er et godt behandlingsalternativ du kan vurdere dersom du har mindre kosmetiske utfordringer, som for eksempel flisete, ødelagte eller misfargede tenner. Skallfasetter kan også hjelpe deg om noen av tennene dine er av ulik størrelse. Dessuten ser dette akkurat ut som de naturlige tennene dine!
Skallfasetter er tynne tann-fargede skall som festes til forsiden av tennene dine for å forbedre utseende deres. Vårt kvalifiserte team med tannleger kan hjelpe deg med å kartlegge de ulike alternativene du har innenfor kosmetisk tannpleie, og da kan porselensfasetter være akkurat den behandlingen du trenger.
Skallfasetter har mange av de samme egenskapene som dine naturlige tenner. Derfor er det viktig å ta godt vare på dem gjennom god munnhygiene. Så lenge du pusser tennene dine, og besøker tannlegen din jevnlig for oppfølging, vil skallfasetter kunne vare i mange år uten at det skal by på problemer.
For mer informasjon angående behandlingen anbefaler vi at du kontakter oss. Vi hjelper deg gjerne!

Sayed Razavian
Hva kan du forvente av fasettbehandlingen?
I den første timen din vil tannlegen ta et avtrykk av tennene dine. Tannlegen vil også ta målinger av tennene dine. Dette gjøres for å kunne lage fasetten. Så snart skallfasetter er klar vil vi sette deg opp på en ny time for å gjøre de siste tilpasningene. Under denne timen vil tannlegen sørge for at passform, utforming, farge og fasong passer perfekt til dine tenner. Dette kan medføre bruk av lokalbedøvelse for å forhindre at du opplever ubehag. Etter dette vil de rense tennene dine og file av et tynt lag av tannemaljen for å lage et feste til fasetten. Deretter vil fasetten festes på plass med ultrafiolett lys.

Fordelen ved bruk av skallfasetter
- De ser naturlige ut
- De kan dekke til flisete og misfargede tenner
- Skallfasetter varer lenge
- De er tilpasset tennenes naturlige farge
- Skallfasetter er motstandsdyktig mot flekker, og er svært slitesterk
- Løsningen er en svært subtil måte å forbedre smilet ditt på
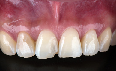
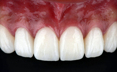
Før og etter
Skallfasetter har umiddelbar effekt, og gir deg et langvarig og mindre inngripende behandlingsalternativ. De vil naturlig dekke til alle merker og flekker, og gir deg et nydelig og komplett smil.


FAQ
Skallfasetter er en liten porselensbit som limes til forsiden av tannen, nesten som en falsk negl.
Det brukes for å skjule den naturlige tannen. Dersom en tann må rettes på kan fasetter benyttes. Dette gjelder også dersom det er flere “glipper” mellom tennene dine.
Dette er den perfekte løsningen for knuste eller flisete tenner. Det gjør at vi kan gjøre endringer i tannens form, farge eller størrelse.
Den ytre delen av tannen fjernes slik at fasetten kan festes permanent til den allerede eksisterende tannen.
Vi skraper bort svært lite av den gamle tannen, og tannen vil være like stor etter at skallfasetten er satt på. Tannen må være av samme størrelse, så vi må lage en ruglete overflate på den gamle tannen, slik at fasetten fester seg godt til den.
Så snart tannen er formet ferdig sender vi et bilde av tannen til en tanntekniker som produserer fasetter som er riktig størrelse, form og farge.
Produksjonen tar omtrent ti virkedager.
Nei,vi kan sette på en midlertidig protese for å dekke til tannen slik at den er skjult frem til fasetten er ferdig.
Detteav henger i stor grad hvor mange fasetter du ønsker å ha. Prosessen varer normalt i mindre enn en time, og festingen tar normalt 30 minutter.
Vi bruker kun materialer av høy kvalitet slik at skallfasetten holder lenge. De koster kr. XXX per tann.
Porselen er et ekstremt holdbart materiale og trenger ikke skiftes ut med mindre de skades. Dersom de skulle knuse må de byttes ut.